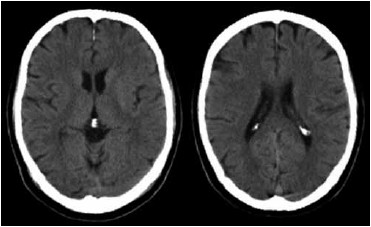
Paciente de 71 anos, masculino, hipertenso e diabético, admitido no pronto-socorro com hemiplegia completa à esquerda com 2 horas do início dos sintomas. Pontuação na escala do NIH de 8. Na admissão, pressão arterial de 180/90 mmHg, glicemia capilar 125 mg/dL, Sat02 em ar ambiente de 94%. Tomografia de crânio sem contraste exibida a seguir. Assinale a alternativa que apresenta corretamente a melhor conduta para este paciente.

(Arquivo pessoal; imagem usada com autorização)