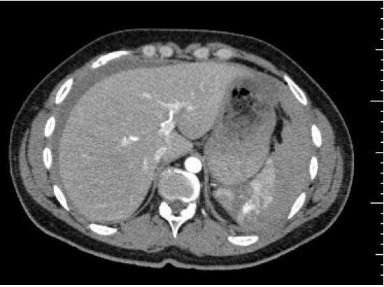
Homem 21a, vítima de agressão interpessoal é encaminhado para Unidade de Emergência Referenciada de um hospital terciário devido dor em hipocôndrio esquerdo para avaliação da equipe cirúrgica. Apresenta-se consciente e orientado; PA= 102x72mmHg; FC= 103bpm; FR= 18irpm; oximetria de pulso (ar ambiente): 99%. Realizou Tomografia Computadorizada com o seguinte achado:

Mediante o quadro clínico e exame complementar, a conduta é: