
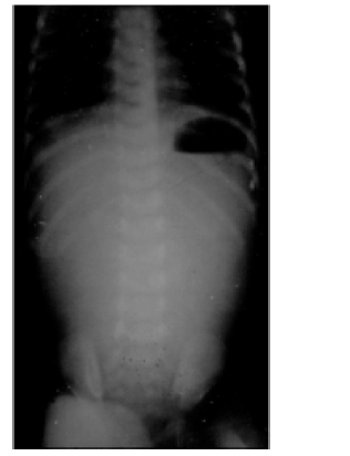
Considerando a imagem apresentada, da radiografia do abdome em incidência anteroposterior de um lactente com ausência de conteúdo gasoso em intestino delgado e intestino grosso, além de ectasia gástrica com considerável nível hidroaéreo, é correto presumir que o diagnóstico da seguinte malformação gastrintestinal é
Provas
Questão presente nas seguintes provas
Residencia em Medicina - Cirurgia Plástica
50 Questões
Residência em Medicina - Cirurgia Vascular
50 Questões
Residência em Medicina - Colocproctologia
50 Questões
Residência em Medicina - Urologia
50 Questões