Magna Concursos
2083505 Ano: 2022
Disciplina: Medicina
Banca: IBFC
Orgão: EBSERH
Provas:

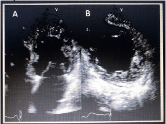
De acordo com a patologia presente na imagem adquirida abaixo, assinale a alternativa correta.

Enunciado 3336750-1

 

Provas

Questão presente nas seguintes provas

Médico - Ecocardiografia

60 Questões