Magna Concursos
3029318 Ano: 2023
Disciplina: Medicina
Banca: IBFC
Orgão: EBSERH

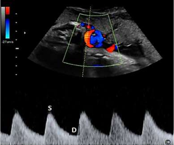
Assinale a alternativa que apresenta qual a estrutura representada na imagem a seguir.

Enunciado 3029318-1

 

Provas

Questão presente nas seguintes provas

Médico - Ultrassonografia em Obstetrícia

60 Questões