Magna Concursos
2532321 Ano: 2016
Disciplina: Odontologia
Banca: FADESP
Orgão: PM-PA
Enunciado 3286664-1
(Fonte: Universidade de Aveiro- www.sapo.pt)
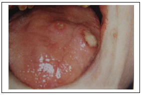
Paciente apresenta várias úlceras sem halo inflamatório no dorso da língua, recobertas por pseudomembrana esbranquiçada devido a infecção secundária por Cândida. Relata o uso de medicamentos antibióticos à base de cloranfenicol e ácido acetilsalisílico há algum tempo. O hemograma apresentou leucopenia, diminuição de granulócitos (neutrófilos, basófilos e eosinófilos) e linfócitos. Diante deste quadro, o provável diagnóstico é
 

Provas

Questão presente nas seguintes provas