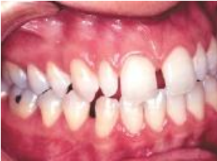
Observe a imagem, abaixo:

Fonte:
https://www.researchgate.net/publication/281574669
_Etiologia_das_mas_oclusoes_Causas_hereditarias
_e_congenitas_adquiridas_gerais_locais_e_proximai
s_habitos_bucais
À imagem, observa-se, microdontia do elemento
dental: