Magna Concursos
2092517 Ano: 2021
Disciplina: Odontologia
Banca: IADES
Orgão: FEPECS

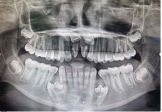
Uma criança de 11 anos de idade, 32 kg, apresenta queixa de demora de erupção dos incisivos permanentes superiores. Observe o aspecto clínico e radiográfico do caso descrito e julgue os itens a seguir.


Enunciado 2092517-1


Enunciado 2092517-2

Apenas em um terço dos casos, dentes supranumerários na dentição decídua são seguidos por um dente supranumerário na dentição permanente.

 

Provas

Questão presente nas seguintes provas