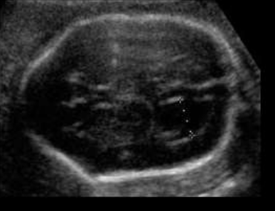
Paciente 24 anos, secundigesta, apresentando idade gestacional de 23 semanas, gestação não planejada, encaminhada para avaliação morfológica do segundo trimestre.
Após analisar as imagens abaixo, quais os sinais ecográficos encontrados e qual a hipótese diagnóstica?

