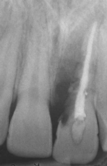
Analise a radiografia periapical a seguir:

Disponível em: Livro – Cirurgia Patologia Oral e Maxilofacial – Neville; Damn; Allen; & Bouquot. 3ª ed.
Assinale a alternativa que corresponde corretamente à condição apresentada pelo elemento dental 21.
Provas
Questão presente nas seguintes provas
Cirurgião-Dentista - Endodontia
40 Questões
Cirurgião-Dentista - PNE
40 Questões
Cirurgião-Dentista - Prótese
40 Questões
Dentista
40 Questões