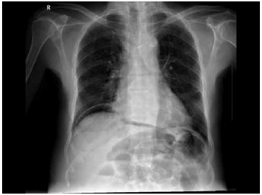
Homem de 38 anos dá entrada no pronto-socorro, referindo forte dor em todo o abdome há duas horas, de início súbito, sem fatores de melhora. Há duas semanas, está em tratamento para úlcera no duodeno. Encontra-se consciente, descorado ++/++++, eupneico. PA: 90 x 40 mmHg; P: 98 bpm. Ao exame físico do abdome: plano, com resistência voluntária à palpação, DB + difuso, com sinal de Jobert presente. RHA + normais. Após as medidas de suporte clínico e coleta de exames laboratoriais, foi realizada radiografia simples de abdome (demonstrada a seguir).

A conduta para com o paciente deverá ser
Provas
Questão presente nas seguintes provas