Magna Concursos
2621231 Ano: 2022
Disciplina: Medicina
Banca: CESPE / CEBRASPE
Orgão: Pref. Maringá-PR
Provas:

Texto 29A2

-

Paciente de 42 anos de idade, do sexo masculino, natural de Minas Gerais, foi trazido pelo irmão à Unidade de Pronto Atendimento devido a tosse secretiva, com início há 12 dias, associada a febre de 38 ºC, além de hiporexia e dor torácica. O paciente relata que já havia procurado a Unidade Básica de Saúde, ocasião em que lhe foi receitado o uso de macrolídeo por 5 dias, não havendo, contudo, melhora significativa dos sintomas.

Os exames laboratoriais do paciente realizados anteriormente apresentaram os seguintes resultados: hemoglobina 13 g/%; leucócitos totais 14.500/mm3; bastões de 5%; neutrófilos 75%; plaquetas 200.000/mm3; ureia 60 mg/dL.

-

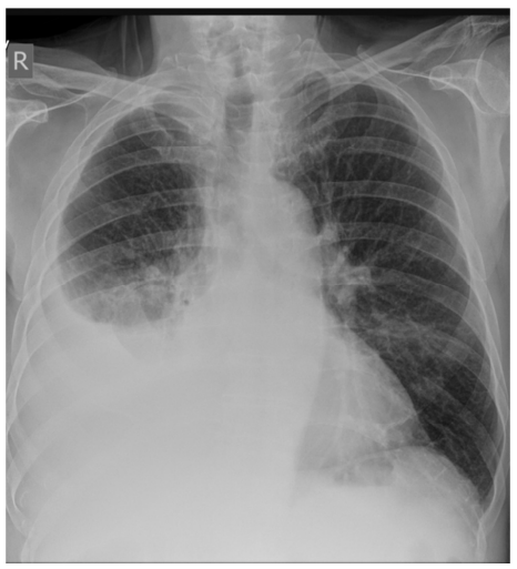
A radiografia de tórax mostrou a seguinte imagem:

-

Enunciado 2930303-1

-

Internet: < radiopaedia.org >

-

Além disso, foi realizada a toracentese para avaliação do líquido pleural, que mostrou: líquido pleural purulento; pH 6,8, DHL 2.000 U/L; proteínas 4,9 mg/dL; glicose 38 mg/dL; predomínio de neutrófilos.

-

Por fim, o exame físico revelou as seguintes informações:

-

I O paciente apresenta mau estado geral, confusão, frequência cardíaca de 114 bpm, frequência respiratória de 32 irpm, pressão arterial 90/55 mmHg e saturação periférica de 90% em ar ambiente.

II Aparelho respiratório: sons respiratórios abolidos em base direita; presença de algumas crepitações em região infraclavicular direita; macicez à percussão em base direita, com redução do frêmito toracovocal na mesma região.

III Aparelho cardiovascular: ritmo cardíaco regular em dois tempos, sem sopros; extremidades sem edema de membros inferiores, sem sinais de trombose; e tempo de enchimento capilar de 3 segundos.

Na situação hipotética descrita no texto 29A2, o tratamento mais adequado para o paciente seria

 

Provas

Questão presente nas seguintes provas

Médico - Pneumologia

40 Questões