
Internet: <cdiumuarama com br/exame/> Figura 3
Tendo como referência a imagem precedente, julgue o item que se segue.
A estrutura indicada pelo número 1 corresponde ao seio etmoidal, uma cavidade oca revestida com mucosa e preenchida com ar.

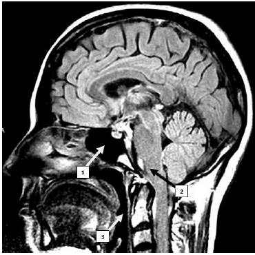
Internet: <cdiumuarama com br/exame/> Figura 3
Tendo como referência a imagem precedente, julgue o item que se segue.
A estrutura indicada pelo número 1 corresponde ao seio etmoidal, uma cavidade oca revestida com mucosa e preenchida com ar.