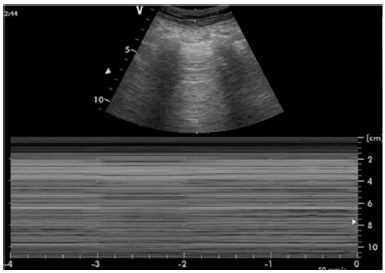
Um paciente em pós-operatório imediato de nefrectomia total esquerda evolui com franca taquidispneia, taquicardia e hipotensão. Ao realizar exame point of care exibido abaixo, prontamente o médico anestesiologista levanta sua hipótese diagnóstica.

Assinale a alternativa que apresenta o diagnóstico e o provável fator desencadeante desse quadro.
Provas
Questão presente nas seguintes provas