
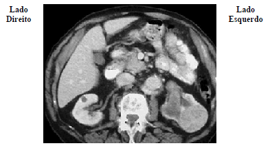
Um paciente de 65 anos de idade compareceu ao urologista por apresentar hematúria macroscópica, emagrecimento de 5 kg em dois meses e dor abdominal. Ao exame físico, o médico encontrou uma massa abdominal palpável em região de flanco esquerdo. Solicitou então uma tomografia computadorizada de abdome, demonstrada nessa imagem.
Com base nesse caso clínico e nos conhecimentos médicos correlatos, julgue o item a seguir.