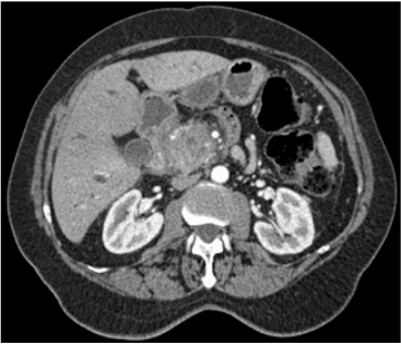
Um paciente de 55 anos de idade iniciou com quadro de icterícia, dor abdominal, colúria e acolia. Perdeu 35 kg em seis meses. Durante o processo de tratamento com quimioterapia, o paciente apresentou, após duas sessões, febre e mal-estar geral, e o hemograma do seguimento do tratamento demonstrava 75 neutrófilos e seu escore de MAASC foi de 15 pontos. A tomografia do paciente, apresentada a seguir, foi inserida para auxiliar no diagnóstico.

Disponível em:<https://www.uptodate.com/>. Acesso em: 27 dez. 2020.
Considerando esse caso clínico, os conhecimentos médicos correlatos e a imagem apresentada, julgue os itens a seguir.
Fluorouracil é um quimioterápico que pode ser utilizado para esse paciente.