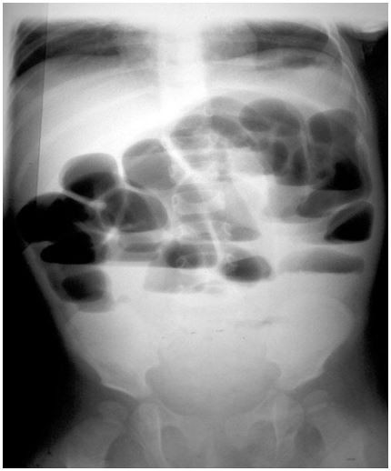
Menino, 4a, sem queixas anteriores, é atendido no pronto socorro, afebril, com dor abdominal intensa, tipo cólica, acompanhada de vômitos biliosos e parada de eliminação de gases e fezes. Realizou este radiograma de abdome em ortostática. Qual é a hipótese diagnóstica mais provável?
