Caso clínico para os itens de 50 a 60
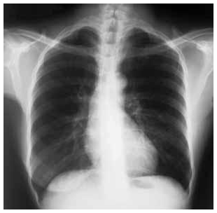
Uma mulher com 68 anos de idade foi atendida no ambulatório de um posto de saúde, com relato de tosse produtiva com
expectoração mucoide, que vem ocorrendo há mais de três anos. Informou ser tabagista (45 maços/ano) e que, nos últimos seis meses,
passou a ter dispneia progressiva aos esforços físicos. O exame físico mostrou: paciente dispneica leve, acianótica, pressão arterial de
120 mmHg × 80 mmHg, frequência cardíaca de 80 bpm, frequência respiratória de 22 irpm, com ritmo cardíaco regular em 2 tempos,
bulhas cardíacas hipofonéticas e ausência de sopros à ausculta cardíaca, diâmetro anteroposterior da caixa torácica aumentado, presença
de hipersonoridade à percussão do tórax e murmúrio vesicular reduzido de forma difusa, com roncos esparsos à ausculta pulmonar; o
restante do exame não apresentou anormalidades. Abaixo é reproduzida a radiografia do tórax em projeção posteroanterior realizada para
essa paciente.

Tendo por base as informações clínicas e a radiografia de tórax apresentadas, julgue os itens a seguir.
A interrupção do ato de fumar — único procedimento terapêutico que altera o curso evolutivo da doença em tela —, a vacinação anual contra o vírus da influenza e o uso da vacina antipneumocócica (a cada 5 anos) são recomendados para a paciente em questão.Uma mulher com 68 anos de idade foi atendida no ambulatório de um posto de saúde, com relato de tosse produtiva com
expectoração mucoide, que vem ocorrendo há mais de três anos. Informou ser tabagista (45 maços/ano) e que, nos últimos seis meses,
passou a ter dispneia progressiva aos esforços físicos. O exame físico mostrou: paciente dispneica leve, acianótica, pressão arterial de
120 mmHg × 80 mmHg, frequência cardíaca de 80 bpm, frequência respiratória de 22 irpm, com ritmo cardíaco regular em 2 tempos,
bulhas cardíacas hipofonéticas e ausência de sopros à ausculta cardíaca, diâmetro anteroposterior da caixa torácica aumentado, presença
de hipersonoridade à percussão do tórax e murmúrio vesicular reduzido de forma difusa, com roncos esparsos à ausculta pulmonar; o
restante do exame não apresentou anormalidades. Abaixo é reproduzida a radiografia do tórax em projeção posteroanterior realizada para
essa paciente.

Tendo por base as informações clínicas e a radiografia de tórax apresentadas, julgue os itens a seguir.
Provas
Questão presente nas seguintes provas
Analista Judiciário - Medicina/Clínica Geral
120 Questões