Magna Concursos
3028332 Ano: 2023
Disciplina: Medicina
Banca: IBFC
Orgão: EBSERH
Provas:

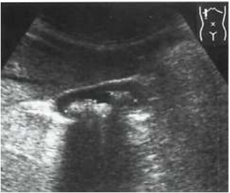
Qual artefato está representado na imagem a baixo:

Enunciado 3028332-1

 

Provas

Questão presente nas seguintes provas

Médico - Ultrassonografia

60 Questões