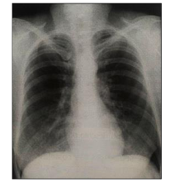
Na radiografia de tórax em PA é possível observar uma falha no posicionamento do paciente, o que causa uma distorção do tamanho de algumas estruturas no estudo:

Dessa forma, é possível afirmar que o critério não observado foi:
Provas
Questão presente nas seguintes provas