Magna Concursos
Questões
Planos
Entrar
Entrar
Criar Conta
Respondida
953380
Ano:
2016
Disciplina:
Biologia
Banca:
IBFC
Orgão:
EBSERH
Provas:
Biólogo
Provas
×
Análises parasitológicas
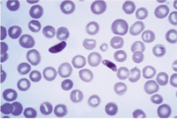
A malária é uma doença infecciosa cujo diagnóstico é feito pela visualização microscópica do plasmódio em exame da gota espessa. A ilustração abaixo indica a presença de:
Assinale a alternativa correta.
A
Plasmodium falciparum
B
Plasmodium ovale
C
Plasmodium malariae
D
Plasmodium vivax
E
Plasmodium falciparum e Plasmodium vivax
Resolver
Comentários
0
×
Cadernos
×
Flashcards
×
Estatísticas
×
Reportar um erro
×
Provas
Questão presente nas seguintes provas
Biólogo
50 Questões
Resolver Prova
Publicar
Responder
Qual o problema da questão?
Selecione uma opção
Questão Desatualizada
Questão Repetida
Gabarito Errado
Outros Motivos
Mensagem
Enviar
Acessar
Criar Conta
Acesse sua Conta
Google
Facebook
Esqueci minha senha
Acessar
Ainda não tem conta?
Crie uma
!
Crie uma Conta
Criar Conta
Olá, para continuar, precisamos criar uma conta!
É
rápido
e
grátis
.
Google
Facebook
Concordo com os
Termos de Uso
Criar
Já tem uma conta?
Acesse aqui