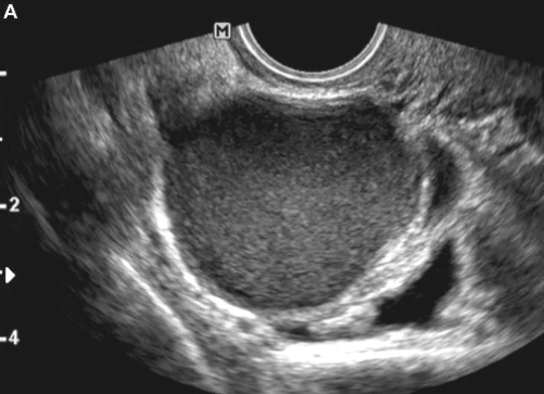
Paciente de 30 anos, G1P1 (C), veio ao consultório com queixas de cólicas de média intensidade no período catamenial há quatro anos, de caráter progressivo, associada à irregularidade menstrual. Sem métodos contraceptivos há dois anos. Traz consigo resultado de ultrassonografia que revela cisto em região ovariana, volumoso, uniloculado, com conteúdo tipo “vidro fosco” e ausência de vascularização ao Doppler.

Considerando o quadro acima, qual a melhor conduta?
Provas
Questão presente nas seguintes provas