Magna Concursos
500532 Ano: 2018
Disciplina: Medicina
Banca: FCC
Orgão: SEGEP-MA
Provas:
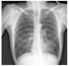
Um homem de 30 anos, previamente hígido, é admitido no pronto atendimento com queixa de febre e calafrios de início há 6 horas, seguidos de tosse seca. Está hemodinamicamente estável, com T =38 °C, eupneico, saturando 94% em ar ambiente. A radiografia de tórax mostra:

enunciado 500532-1
Dentre as diferentes opções de conduta, a mais adequada é
 

Provas

Questão presente nas seguintes provas

Perito - Médico

50 Questões