Magna Concursos
1007886 Ano: 2016
Disciplina: Biologia
Banca: AOCP
Orgão: EBSERH
Provas:

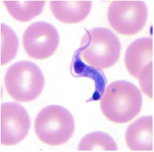
Assinale a alternativa com o nome do parasita encontrado na seguinte amostra de sangue.

Enunciado 1007886-1

 

Provas

Questão presente nas seguintes provas

Biólogo

50 Questões