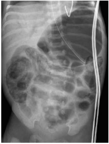
A enterocolite necrosante (NEC), mostrada na figura abaixo, é uma doença de origem desconhecida que afeta principalmente recém-nascidos prematuros (80% dos casos). As manifestações cobrem amplo espectro, de distensão abdominal leve com hematoquezia a choque séptico fulminante com necrose transmural de todo o trato gastrointestinal. Com relação a essa patologia, analise as afirmativas a seguir.

http://www.adhb.govt.nz/newborn/TeachingResources/Radiology/AXR/NEC/NECwithPortalGasAP1.jpg
1) Ocorre tipicamente em recém-nascidos com uma idade gestacional corrigida de 30-32 semanas, um momento em que a maioria dos prematuros está em progressão de dieta enteral.
2) O leite materno pode reduzir o risco de NEC. Uma das ações seria favorecer o crescimento de Lactobacillus bifidus, promovendo o desenvolvimento de um microbioma intestinal saudável.
3) O estagiamento da NEC é realizado com base em sinais sistêmicos e radiológicos.
4) O tratamento deve ser conservador, apenas com vigilância rigorosa e antibioticoterapia nos casos de pneumoperitônio, devido à instabilidade clínica e a gravidade do paciente.
5) A ausência de NEC intrauterina sugere uma necessidade absoluta de colonização intestinal em sua patogênese.
Estão CORRETAS: