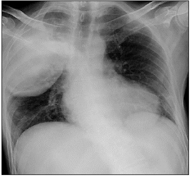
Homem, 56 anos, deu entrada na emergência com quadro de tosse, hemoptise, febre e fraqueza muscular há uma semana. Exame físico: regular estado geral; desidratado; taquipneico; FR = 28 irp. Auscuta pulmonar: estertores creptantes em hemitórax direito. Gram de escarro: presença de bastonetes gram-negativos. Analise a radiografia de tórax a seguir:

Qual o mais provável agente etiológico implicada neste caso clínico hipotético?