Magna Concursos
3635977 Ano: 2025
Disciplina: Serviços Gerais
Banca: FGV
Orgão: EBSERH

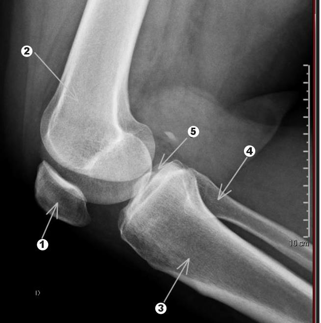
Observe a figura a seguir.

Enunciado 3635977-1

Identifique as estruturas assinaladas por números e setas.

A sequência correta, de 1 a 5, é:

 

Provas

Questão presente nas seguintes provas

Técnico de Radiologia - Radioterapia

60 Questões