Magna Concursos
2824190 Ano: 2023
Disciplina: Medicina
Banca: AOCP
Orgão: IF-MA
Provas:
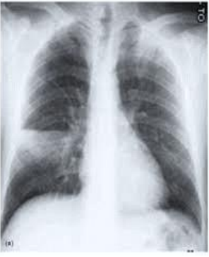
Paciente do sexo masculino, 52 anos, hipertenso e com hipotireoidismo, em tratamento regular, comparece à UBS onde você está atuando com queixa de tosse produtiva de 7 dias e evolução associada a quadro febril que se iniciou há 5 dias. Nega internações prévias. Ao exame físico, apresenta-se em regular estado geral, febril, acianótico, Glasgow 15/15. Ausculta pulmonar: murmúrio vesicular conservado com estertor crepitante em terço médio do pulmão direito. Ausculta cardíaca: BRNF 2T. Abdômen: flácido, hiper-timpânico RH presentes. Sinais vitais: FC 105; FR 25; temperatura axilar: 38,1; SatO2 96%; PA 115/70. O paciente possui exames laboratoriais realizados no dia anterior, assim como radiografia de tórax, apresentada a seguir. Leucócitos 14800 MM3; neutrofilos 85%; bastões 5%; PCR quantitativo 18mg/dl; ureia 55 mg/dl; Creatinina 1 mg/dl.
Enunciado 3123707-1
Assinale a alternativa que apresenta a conduta adequada frente ao caso clínico exposto.
 

Provas

Questão presente nas seguintes provas

Médico

50 Questões