Magna Concursos
1679021 Ano: 2019
Disciplina: Medicina
Banca: IADES
Orgão: FEPECS

Enunciado 1679021-1

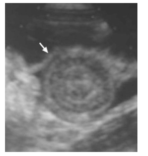
Uma criança de 9 meses de vida é levada ao pronto atendimento em razão de quadro de dor abdominal e fezes misturadas com sangue. Ao exame físico, nota-se massa abdominal palpável. É realizada ultrassonografia abdominal, representada na imagem. A criança apresenta FC= 110 bpm, FR = 25 irpm e saturação de oxigênio = 98% (ar ambiente).

Acerca desse caso clínico e dos conhecimentos médicos correlatos, julgue os itens a seguir.

Essa doença é causa incomum de abdome agudo em crianças.
 

Provas

Questão presente nas seguintes provas