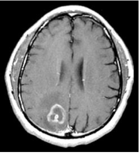
Paciente masculino, 32 anos, AIDS (CD4=98), chega ao PS com queixa de cefaleia há 2 semanas, com diminuição da força em MSE e febre. Realizada tomografia computadorizada de crânio, evidencia a imagem abaixo.

Qual hipótese diagnóstica é a mais provável?