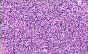
Mulher, 20 anos, com nódulo palpável na mama esquerda. Assinale a alternativa que apresenta o diagnóstico que a figura abaixo ilustra.

Mulher, 20 anos, com nódulo palpável na mama esquerda. Assinale a alternativa que apresenta o diagnóstico que a figura abaixo ilustra.
