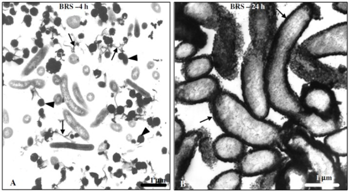
A microscopia eletrônica trouxe um grande avanço para a Microbiologia, ela é uma técnica muito utilizada nos estudos dos biofilmes. Devido ao seu alto poder de resolução, de cerca de 0,2 nm, é possível obter informações detalhadas sobre a distribuição e ultraestrutura das células. A figura a seguir mostra o aspecto em microscopia eletrônica de transmissão (MET) e análise elemental do biofilme pré-formado de 90 dias, após 4 (A) e 24 h (B), respectivamente, sobre os corpos de prova imersos em água corrente desaerada sob condições estáticas de fluxo d'água.

Com relação à metodologia, aplicação e imagens fornecidas pela técnica da MET, é correto afirmar que