Magna Concursos
2173702 Ano: 2021
Disciplina: Medicina
Banca: VUNESP
Orgão: EsFCEx

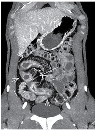
Dor abdominal constante e, às vezes, episódios de diarreia. Nesse caso, considerando-se a imagem a seguir, o diagnóstico mais provável é:

Enunciado 2173702-1

 

Provas

Questão presente nas seguintes provas

CFO-SSau - Médico/Radiologia

60 Questões