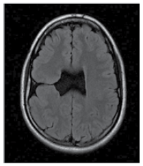
Menino de 3 anos de idade apresenta hemiparesia à esquerda e epilepsia focal. Estudo de imagem por ressonância magnética revela alteração a seguir.

O achado de imagem é compatível com o diagnóstico de
Menino de 3 anos de idade apresenta hemiparesia à esquerda e epilepsia focal. Estudo de imagem por ressonância magnética revela alteração a seguir.

O achado de imagem é compatível com o diagnóstico de