Magna Concursos
2171356 Ano: 2021
Disciplina: Medicina
Banca: VUNESP
Orgão: EsFCEx

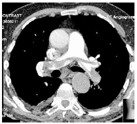
Considere a angiotomografia de tórax com contraste a seguir.

Enunciado 2171356-1

Constitui uma complicação aguda e frequente nesse paciente:

 

Provas

Questão presente nas seguintes provas

CFO-SSau - Médico/Medicina Intensiva

60 Questões