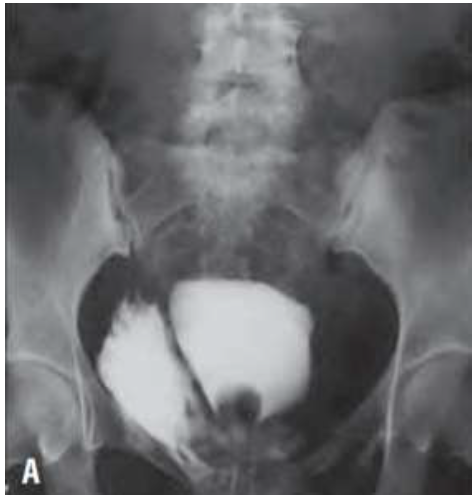
Mariana, 45 anos, é trazida pelo SAMU, vítima de acidente carro-moto. Suspeita de fratura de bacia. Refere dor abdominal intensa. Na admissão, realizado analgesia, coletados exames laboratoriais, avaliação da equipe da Ortopedia e realizado sondagem vesical para controle do débito urinário, com hematúria franca. Na hipótese de trauma de bexiga, foi solicitada pelo médico plantonista, uma cistografia retrógrada (imagem abaixo):

De acordo com o quadro clínico descrito e o exame de imagem solicitado, assinale a alternativa correta: