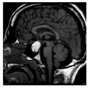
Mulher de 61 anos apresenta quadro de cefaleia progressiva há 5 meses, evoluindo com alteração da visão há 2 semanas. Uma ressonância magnética realizada há 2 dias é mostrada a seguir.

Todavia, ela procura o pronto-socorro devido a mal-estar, sensação de desmaio iminente, náuseas e alguns episódios de vômitos iniciados há cerca de 12 horas. Glicemia capilar: 58 mg/dL. Ao exame físico: afebril, corada, anictérica, sonolenta; pressão arterial: 79 x 46 mmHg, pulso: 82 bpm; frequência respiratória: 20 ipm; oximetria de pulso: normal; discreta dor abdominal difusa, sem sinais de peritonismo; extremidades frias, com discreta cianose. Além de cristaloides, o tratamento imediato correto é