Magna Concursos
573972 Ano: 2016
Disciplina: Biologia
Banca: FUNDEP
Orgão: Pref. Uberaba-MG
Provas:

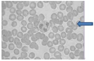
A imagem a seguir, apresenta células sanguíneas.

Enunciado 573972-1

É CORRETO afirmar que a denominação da célula indicada pela seta é:
 

Provas

Questão presente nas seguintes provas

Biólogo

40 Questões