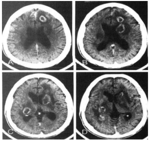
Mulher de 22 anos de idade procurou o pronto-socorro com história de quatro dias de queda do estado geral, rebaixamento de nível de consciência e dois episódios de convulsões tônico-clônicas generalizadas. Exame neurológico na chegada mostrava hemiparesia à esquerda, Glasgow 13, sem sinais de irritação meníngea e com fundo de olho normal. Foi solicitada tomografia computadorizada de crânio, cujas imagens estão apresentadas a seguir. O médico da CCIH foi chamado para o parecer na conduta medicamentosa.


Considerando que a principal hipótese diagnóstica foi confirmada, qual deve ser a conduta?