Magna Concursos
468028 Ano: 2019
Disciplina: Medicina
Banca: VUNESP
Orgão: Pref. Dois Córregos-SP
Provas:

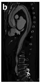
Homem, 58 anos, com antecende de hipertensão de longa data, procura atendimento médico com queixa de dor torácica, súbita, em facada, que iniciou há duas horas. Dá entrada no hospital com pressão arterial de 200 X 120 mmHg e frequência cardíaca de 100 bpm. O eletrocardiograma não apresenta alterações isquêmicas agudas. Opta-se pela realização de angiotomografia de tórax, ilustrada a seguir.

enunciado 468028-1

Assinale a alternativa que apresenta a classificação e conduta corretas, respectivamente

 

Provas

Questão presente nas seguintes provas