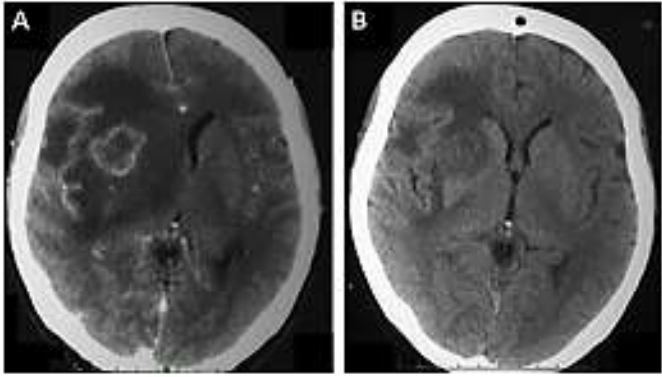
Paciente 44 anos, com perda de peso há 2 meses, em investigação de cefaleia, sonolência e crise convulsiva. Caso apresentasse essa imagem (imagem), assinale a alternativa que apresenta qual seria o diagnóstico e conduta adequadas.

Ressonância magnética de crânio