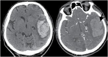
A tomografia de crânio a seguir corresponde a um paciente de 65 anos e hipertenso, admitido no pronto-socorro com crises convulsivas. Assinale a alternativa correta a respeito do local apontado pela seta na imagem.

(Arquivo pessoal; imagem usada com autorização)