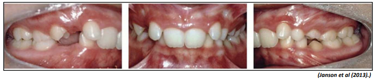
Observe as imagens a seguir.

Sabendo que as fotos são vistas frontal e laterais de um mesmo paciente, qual é a classificação dessa má-oclusão
segundo Angle?
Observe as imagens a seguir.

Sabendo que as fotos são vistas frontal e laterais de um mesmo paciente, qual é a classificação dessa má-oclusão
segundo Angle?