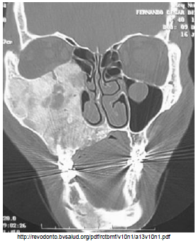
Paciente, sexo masculino, 32 anos, apresenta abaulamento progressivo e dor no terço médio da hemiface direita há quatro anos. Realizou tomografia computadorizada.

Marque a opção correta sobre a lesão apresentada na imagem acima.
Paciente, sexo masculino, 32 anos, apresenta abaulamento progressivo e dor no terço médio da hemiface direita há quatro anos. Realizou tomografia computadorizada.

Marque a opção correta sobre a lesão apresentada na imagem acima.