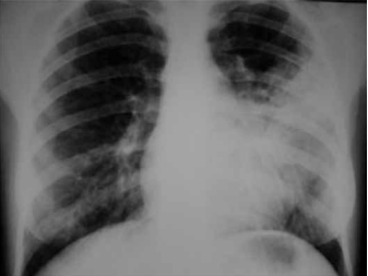
Mulher de 33 anos de idade refere febre, dispneia e dor torácica à esquerda há 3 dias. Nega tabagismo, etilismo ou patologias prévias. Exame físico: PA: 110 x 70 mmHg, FC: 96 bpm, FR: 18 ipm, T: 38,9 ºC e saturação arterial de O2: 94%; cardiovascular: normal; pulmão: crepitações em 2/3 inferior do hemitórax esquerdo. Radiografia realizada é mostrada a seguir.

O tratamento antimicrobiano inicial correto é