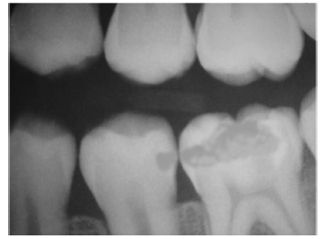
Determinada paciente de 34 anos de idade, normossistêmica, queixou-se de dor após estímulo (doce e gelado) na região de quarto sextante. Ao exame clínico, observou-se cárie oclusal no dente 36, com esmalte branco-acinzentado, opaco na direção da face mesial. A imagem radiográfica revelou a situação a seguir.

Com base nesse caso clínico e na imagem radiográfica, e considerando os conhecimentos odontológicos a eles relacionados, julgue os itens a seguir.