Magna Concursos
1997458 Ano: 2020
Disciplina: Medicina
Banca: IADES
Orgão: FEPECS

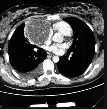
Um paciente de 17 anos de idade revela idas frequentes à emergência por causa de tosse e dispneia. Em exame de imagem investigatório, identificou-se, na tomografia computadorizada de tórax (TCT), uma massa mediastinal anterior bem definida, com densidade de partes moles, medindo cerca de 17 cm x 11 cm x 10 cm, conforme representado na imagem a seguir. A lesão não invadia estruturas adjacentes, e não foram encontradas outras alterações nas tomografias de tórax, de crânio e de abdome. Foi realizada uma biópsia pré-operatória guiada por TCT, cujo diagnóstico foi compatível com teratoma de mediastino.


Enunciado 1997458-1

Acervo Pessoal


Considerando esse caso clínico, a imagem apresentada e os conhecimentos médicos correlatos, julgue os itens a seguir.

O quadro clínico apresenta um tumor de mediastino anterior. O teratoma cístico maduro trata-se da neoplasia mais comum das células germinativas do mediastino.

 

Provas

Questão presente nas seguintes provas

Residência em Medicina - Grupo 002

120 Questões