Caso Clínico 1 para as questões 21, 22, 23 e 24.
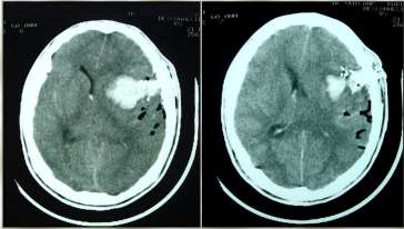
Paciente, 35 anos, sexo masculino, procedente de Recife-PE, é admitido em unidade de trauma, com história de agressão física por arma de fogo há 30 min. Veio trazido por policiais e sem profissional de saúde. Estava hipocorado, hipotérmico e possuía múltiplos orifícios de entrada de projétil de arma de fogo (PAF) em tórax, entrada e saída em região cervical e entrada em zigoma esquerdo. Apresentou parada cardiorrespiratória (PCR), revertida após 03 ciclos de reanimação cardiopulmonar, incluindo entubação orotraqueal sem sedação, expansão volêmica e drenagem torácica bilateral. Logo em seguida, após melhora hemodinâmica, não tinha abertura ocular e não tinha resposta motora, e pupilas estavam médio-fixas. De exame de imagem, fez apenas tomografia computadorizada (TC) de crânio.


Para o caso clínico mencionado acima, devem estar presentes os seguintes pré-requisitos para abertura de Protocolo de ME: