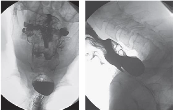
Homem, hígido previamente, queixa-se de disfagia e halitose há cerca de seis meses. Nesse período, apresentou três episódios de pneumonia. Realizou exame que gerou as seguintes imagens:

Fonte: JAMESON, Larry et al. Harrison’s Principles of Internal Medicine. 20. ed. New York: Mc Graw Hill Education, 2018
O tratamento adequado em relação à lesão é: