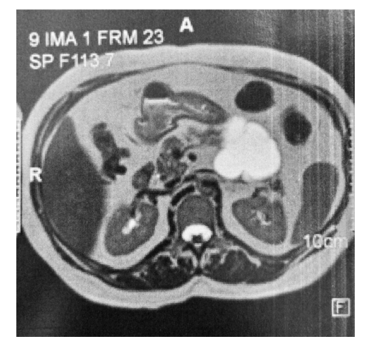
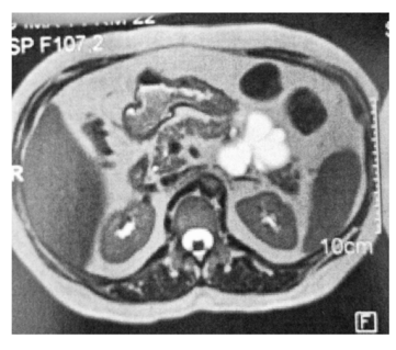
Um homem de 52 anos de idade apresenta a lesão pancreática assintomática mostrada a seguir.


Com base nesse caso hipotético, é correto afirmar que a lesão menos provável com relação ao diagnóstico final é o(a)
Provas
Questão presente nas seguintes provas
Residência em Medicina - Endoscopia
40 Questões
Residência em Medicina - Mastologia
40 Questões